文章详情
与死亡赛跑——手术救治一名脑干出血生命垂危病人
   
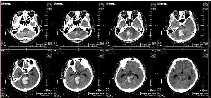
   患者48岁,男性,突发昏迷,呼之不应,遂就诊于某医院,急诊头颅CT显示:脑干出血,不除外小脑、第四脑室内出血。入重症医学科治疗,给予降血压、止血、降颅压、营养脑细胞及维持电解质平衡等治疗,病情无好转,出现发热,给予气管插管接呼吸机辅助呼吸,病情危重,患者家属焦急万分,先后咨询多家医院,得到的答复全部都是“手术治疗没有任何意义”。后患者家属带头颅CT片来到秦皇岛军工医院咨询,神经外科主任进行紧急会诊。患者家属得知军工医院神经外科曾治愈多位脑干出血患者,听取医生的会诊意见后,积极要求在军工医院进行手术治疗。
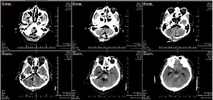
   2019年1月2日,军工医院副院长于笑鹏协调急诊科、重症医学科、神经外科、手术室麻醉科做好转接手术患者相关准备工作,紧急召集120急救人员与该医院沟通,将患者接到重症医学科进行术前准备。患者来院后复查头CT显示:脑干内血肿量较前明显增多,出现梗阻性脑积水征象。在院领导的关注下,神经外科医生团队经过两个多小时的精湛手术,患者生命体征平稳。复查头CT显示:脑干内血肿清除彻底,脑积水解除,转回军工医院重症医学科继续治疗。术后6小时,患者自主呼吸恢复,有吞咽动作,格拉斯评分由入院前3分转为5分,各种刺激检测均有反应。
   患者家属对军工医院敢于承担濒临死亡病人的抢救治疗能力表示肯定,连声致谢。
术前ct片

术后头CT片
返回列表