文章详情
内分泌科介入精准治疗继发性高血压病
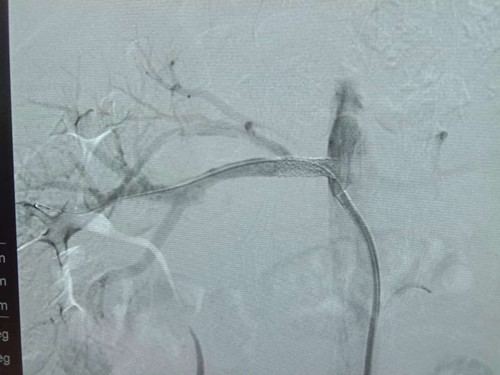
      近日,我院内分泌科收治了一名年轻患者,28岁,男性,血糖升高6年,头晕伴左手麻木3天。经过完善的相关检查,诊断为:2型糖尿病、糖尿病酮症、糖尿病肾病、急性脑梗死、高血压3级很高危。在给予有效降糖、降压、营养脑细胞等治疗下,内分泌科联合介入中心对患者进行全脑血管造影及肾动脉造影,造影显示右侧肾动脉重度狭窄(狭窄率80%),左侧椎动脉重度狭窄(狭窄率80%),经过进一步仔细检查,分析病情,最终考虑患者多年的高血压病为肾动脉狭窄所致,决定对患者进行肾动脉支架置入术及球囊扩张术,手术于06-14上午9点开始,经过1.5小时治疗,支架顺利植入右侧肾动脉,左侧肾动脉成功进行球囊扩张,双侧肾动脉血流明显改善,术后患者血压下降并维持正常。患者年龄较小,但是多年的糖尿病及高血压病导致大血管病变较重,经过此次介入精准治疗,使患者的高血压病得以缓解,明显降低了靶器官损害的风险。

       内分泌科主要业务范围包括糖尿病、甲状腺疾病、肾上腺疾病、痛风、骨质疏松等内分泌及代谢性疾病,此外,还涉及风湿免疫及一氧化碳中毒等其他疾病。科室现有病床31张,医护人员20余人。其中副主任医师3人,博士研究生1人,硕士研究生2人。科室配有胰岛素泵、动态血糖监测系统、糖尿病足诊断治疗系统、大型高压氧舱等多种先进诊疗设备。医师团队大部分曾于北京、上海知名医院进修深造,技术力量雄厚,对内分泌系统的常见病、多发病有丰富的临床经验,尤其擅长糖尿病、糖尿病各种急慢性并发症、一氧化碳中毒的诊治。采用胰岛素泵治疗顽固性糖尿病、采用中西医结合技术治疗糖尿病足取得满意疗效,遵循指南规范救治糖尿病酮症酸中毒成功率达98%。在全市率先引进实时动态血糖监测系统和院内外血糖信息化管理系统,对糖尿病患者进行科学管理,明显缩短了血糖达标时间。糖尿病门诊是全院第一个专病门诊,日门诊量达100余人,由经验丰富的糖尿病专家轮流坐诊,定期讲课,开展健康教育,提高了患者的依从性。人性化的管理赢得了越来越多患者的光顾,“不断提高技术和服务水平,努力让每一个患者都满意”是全科永远的追求目标。
返回列表