文章详情
精湛技术护生命,优质服务暖患者——肿瘤科X线造影下鼻空肠营养管置入术为危重患者开辟肠内营养通道
  近日,北医三院秦皇岛医院肿瘤科白利君主任带领团队医生,成功为一名消化道穿孔并发十二指肠-结肠瘘的老年危重患者实施X线造影下鼻空肠营养管置入术,精准建立起关键的肠内营养支持通路,为患者的后续治疗与康复奠定了坚实基础。这一技术的成功应用彰显了医院以患者为中心,致力于提供高质量医疗服务的专业实力与责任担当。
   
  
  
  孙阿姨因“消化道穿孔2月余,腹痛加重7天”入院,病情迅速进展为感染性休克,随即转入重症医学科接受紧急救治。全面检查后,医生发现其存在十二指肠-结肠瘘,这一严重并发症导致胃肠道功能严重受损,孙阿姨完全无法经口进食,营养支持成为维持生命与战胜疾病的当务之急。面对复杂病情,白利君主任团队进行了充分的评估与审慎的研讨,决定采用X线造影下鼻空肠营养管置入术,为孙阿姨开辟一条安全、有效的肠内营养通道,为后续的综合治疗创造有利条件。

     
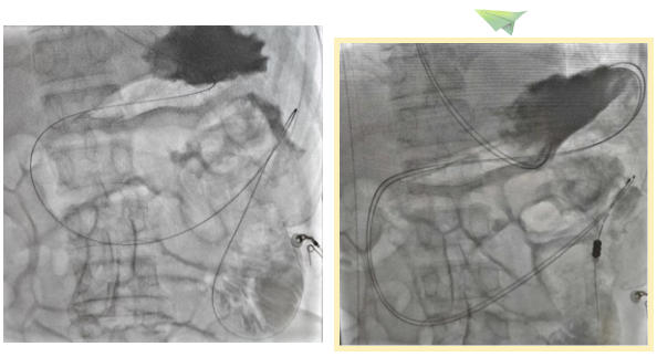
  鼻空肠营养管置入术是一种经鼻腔插入导管直达空肠的微创治疗技术。在此次手术中,北医三院秦皇岛医院的医疗团队巧妙运用X线造影技术,为手术的精确性与安全性提供了坚实保障。手术过程中,医生在X线实时动态影像的精准引导下,将细小的营养导管通过患者的鼻腔、食道,一步步精确送达空肠指定部位。这种动态可视化操作,使得医生能够随时观察并调整导管位置,确保其准确无误地进入目标区域,最大限度地降低了操作风险,保障了患者的安全。
  X线造影下鼻空肠营养管置入术之所以能在临床危重症救治中发挥重要作用,得益于其显著的核心优势:
  首先,它具有微创安全的特性。作为典型的微创技术,相较于传统外科手术,其对患者造成的创伤小,术后恢复速度快,且大大降低了术后并发症的发生风险,有助于患者更快地耐受并配合后续治疗。
  其次,精准引导是其另一大亮点。X线造影提供的实时动态影像,如同为医生装上了“透视眼”,确保导管能够准确无误地插入目标部位,有效避免了传统盲插或经验性操作中可能出现的定位误差,从根本上保障了患者的安全。
  再者,该技术能提供有效的肠内营养支持。对于无法经口进食的患者而言,鼻空肠营养管是实现持续肠内营养供给的理想选择。与静脉营养相比,肠内营养更符合生理状态,能更好地维护肠道黏膜屏障功能,保持肠道正常的生理结构和蠕动,显著减少肠道菌群失调及相关感染的风险,对患者整体康复更为有利。
  此外,该手术适应症广泛,不仅适用于孙阿姨这样的急性肠道损伤患者,还可广泛应用于消化道瘘、食管癌、十二指肠肿瘤等多种因消化道功能受限而导致营养不良的患者,为众多面临营养困境的患者带来了福音。
  术后,北医三院秦皇岛医院的医护团队并未松懈,而是制定了全面细致的术后管理与护理方案,以确保治疗效果。在合理营养支持方面,医疗团队会根据患者的具体病情、代谢状况及恢复进展,逐步调整营养方案,精确计算并供给充足的蛋白质、热量以及各类微量元素,确保满足患者每日的代谢需求,为机体修复提供充足“原料”。
  管道护理同样至关重要。护理人员会对鼻空肠营养管进行定期检查和专业清理,严格执行无菌操作,防止管道堵塞、移位或感染等并发症的发生,确保这条“生命通道”始终畅通无阻。
  同时,患者还需要定期进行影像学等相关检查,以便医生及时评估肠道功能的恢复情况、营养支持的效果以及有无其他潜在问题,从而动态调整治疗与护理策略。
  X线造影下鼻空肠营养管置入术在北医三院秦皇岛医院的成功应用与逐步推广,为因急性肠道损伤、消化道瘘或其他原因导致无法通过正常进食途径获得营养的患者,开辟了一条维系生命、促进康复的重要“生命通道”。这项技术的成熟应用,不仅直观体现了现代医学在危重症救治领域的技术进步与创新成果,更深刻展现了个体化医疗理念在临床实践中的深入融合与应用。作为肠内营养支持的关键手段,它在维持危重患者营养状况、支持后续综合治疗、促进器官功能恢复等方面发挥着不可替代的重要作用。
  北医三院秦皇岛医院肿瘤科始终秉持精进不休的精神,在技术探索与服务优化的道路上不断前行。医院全体医护人员将继续以患者需求为导向,不断引进和开展新技术、新项目,致力于为每一位前来就诊的患者提供精细、精准、高效且充满人文关怀的医疗服务,用专业与爱心守护人民群众的生命健康。
  
    

返回列表